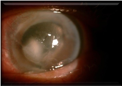
Volver a los detalles del artículo Úlcera corneal grave secundaria a artritis reumatoide