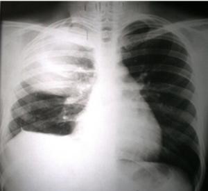
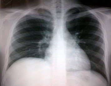
Volver a los detalles del artículo Absceso hepático amebiano con empiema pleural derecho. A propósito de un caso