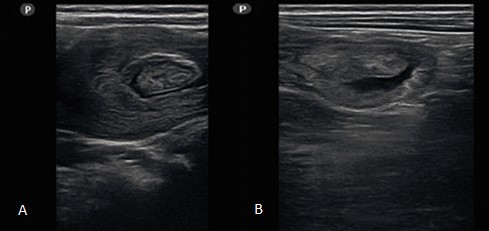
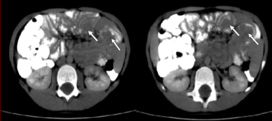
Volver a los detalles del artículo Síndrome de Peutz-Jeghers. Informe de caso