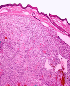
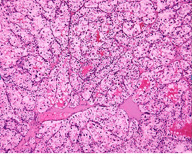
Volver a los detalles del artículo Metástasis cutáneas por un adenocarcinoma renal