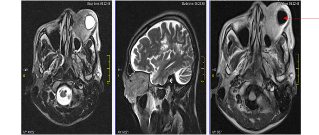
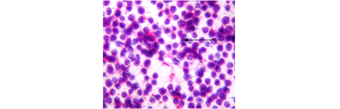
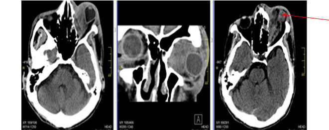
Volver a los detalles del artículo Linfoma primario de la órbita. Informe de un caso