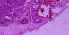
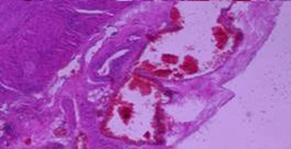
Volver a los detalles del artículo Hemangioma de localización infrecuente